What are snap-in dentures and how do they work?
If you’re suffering from extensive tooth loss and decay, there are many options to save your smile. Snap-in dentures, also known as implant-retained dentures or overdentures, are one of the most durable, natural-looking, and sturdy options available today. Dental implants help anchor the dentures in place, preventing them from slipping or causing discomfort. Plus, they can help preserve your jaw bone, which reinforces your natural face shape and prevents premature aging. You can still remove your snap-in denture for easy cleaning and maintenance. With proper care, snap-in dentures can last for many years, making them a great long-term solution for tooth replacement.


Did you know…
Ready to schedule your appointment?
Call (817) 382-7445 to scheduleBefore and afters


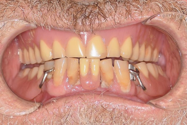
Before
After


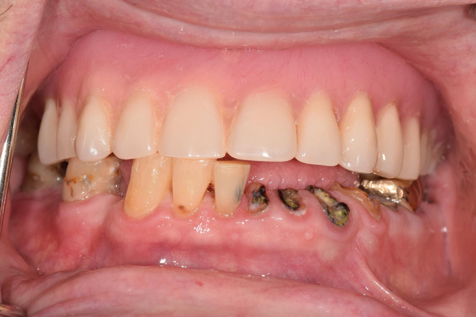
Before
After
The Snap-In Dentures Treatment Process
The Benefits of Snap-In Dentures
Removable for Easy Cleaning
Easier Chewing
Improves Jaw Health
Removable for Easy Cleaning
Removable for Easy Cleaning
While the denture is firmly anchored in place by the implants, it can still be easily removed to clean. This is one of the advantages of snap-in dentures over traditional dentures, which are held in place by suction or adhesives and can be more uncomfortable or difficult to remove.
Easier Chewing
Easier Chewing
Because snap-in dentures are anchored in place, they can improve your ability to chew and eat with ease. You’ll be able to enjoy a wider variety of foods without worrying about your dentures slipping or causing discomfort.
Improves Jaw Health
Improves Jaw Health
Dental implants can help preserve the bone in your jaw, which can help prevent the jawbone from deteriorating over time. This can help maintain the shape of your face and prevent issues like premature aging.

Did you know…
Unlike natural teeth, snap-in dentures aren’t affected by tooth decay.
Ready to schedule your appointment?
Call (817) 382-7445 to scheduleThe Benefits of Snap-In Dentures
Are snap-in dentures more expensive than traditional dentures?
Yes, snap-in dentures are typically more expensive than traditional dentures. The cost of snap-in dentures varies depending on the number of implants needed and the type of denture being used. However, many people find that the benefits of snap-in dentures, such as improved stability and function, are worth the additional cost.
Is the implant placement procedure painful?
The implant placement procedure is typically done under local anesthesia, so you should not feel any pain during the procedure itself. However, it is normal to experience some discomfort or soreness for a few days after the procedure. Dr. Eastwood will provide you with post-operative instructions to help you heal as quickly as possible.
How long do snap-in dentures last?
With proper care and maintenance, snap-in dentures can last for many years. However, the lifespan of the denture can vary depending on factors such as the quality of the implant placement, the type of denture used, and your oral health habits. Regular check-ups with your dentist and good oral hygiene practices can help ensure that your snap-in dentures last as long as possible.

Did you know…
With snap-ins, you can eat more of your favorite foods than with traditional dentures.


