Why should I choose All-on-4 Implants?
All-on-4 is the most sophisticated, advanced method of full-arch implant restoration. It’s an excellent alternative to dentures, and offers superior results, a longer lifespan, enhanced comfort, and tons of other benefits. If you have lost most or all of your teeth and want to replace them permanently, All-on-4 may be a good choice for you.


Did you know…
Ready to schedule your appointment?
Call (817) 382-7445 to scheduleBefore and afters


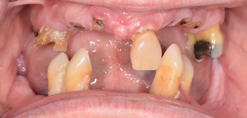
Before
After


Before
After
The All-on-4 Implant Process
The Benefits of All-on-Four
Unbeatable Lifespan
Lifelike Results
Better Oral Health
Unbeatable Lifespan
Unbeatable Lifespan
Dental implants usually last 30+ years with proper care. You may be able to keep your implants for the rest of your life. And while your full-arch bridges may need to be replaced eventually, they will last much longer than a set of dentures, which need to be replaced as often as every 5 years.
Lifelike Results
Lifelike Results
All-on-Four full-arch bridges are built from porcelain, which looks very similar to your natural teeth. They will look completely natural. Your new smile will feel natural, too. Because they’re supported by dental implants, your new teeth will never move or shift when you chew, eat, speak, or smile.
Better Oral Health
Better Oral Health
Unlike dentures, dental implants help protect your jaw bone, and prevent bone resorption due to tooth loss. Over time, bone resorption can cause changes to your appearance and can negatively affect your oral health. With All-on-Four, your dental implants stimulate your jaw bone, keep it healthy, and help preserve your appearance and your oral health, too.

Did you know…
For many patients, dental implants can last a lifetime.
Ready to schedule your appointment?
Call (817) 382-7445 to scheduleHave questions about All-on-4 Implants? Find answers here.
Am I a good candidate for All-On-4 implants?
All-On-4 implants may be a suitable option If you have lost many of your natural teeth due to gum disease, tooth decay, or dental trauma. It is also important to note that a relatively healthy mouth and jaw are key for a successful All-On-4 operation. Contact your dentist today to schedule an appointment and see if All-On-4 implants are the right choice for you.
Do All-On-4 implants look and feel like natural teeth?
Yes. Made of durable, quality materials, All-On-4 implants look and feel just like your natural smile, and seamlessly blend in with the rest of your surrounding teeth. All-On-4 implants allow you to laugh, smile, talk, and enjoy your favorite foods just as you would with a natural healthy smile. By continuing to treat your implants with care, you can prolong the look, feel, and function of your All-On-4’s for years to come.
How long do All-On-4 implants last?
It is important to note that All-On-4 implants are made up of two separate elements: the implants and the permanently affixed denture. While All-On-4 implants can last a lifetime with good oral health, the denture may wear down over time. The All-On-4 dentures are made from durable materials but are still exposed to regular wear from chewing and biting. Over time, the denture will likely need to be replaced to keep your smile healthy, functional, and natural-looking.
Can All-On-4 implants be done in one day?
Yes. In just one appointment, your dentist can remove all your remaining teeth, place the dental implants, and permanently bond your denture to the 4 implants. This is a much faster and cost-effective solution for many patients since traditional full-arch restorations can require 8 or more individual implants spanning over multiple visits.
After your All-On-4 implant procedure has finished, your dentist will guide you through the healing process, which usually lasts between 3-6 months. In order to ensure there is no movement that could disrupt the integration of the implants to the jaw bone, your dentist may require you to follow a soft diet for 8 weeks after the procedure. After your mouth has fully healed, care for your All-On-4 implants just as you would with your natural teeth. Simply practice healthy oral hygiene habits by flossing and brushing at least twice a day to maintain functional, healthy All-On-4 implants.


